ד״ר מתן אור DVM, PhD, DECVS
מומחה לאורתופדיה וכירורגיה וטרינרית.
בוגר בית הספר לווטרינריה באוניברסיטה העברית. סיים שנת אינטרשיפ בבית החולים הווטרינרי בבית דגן ושנת אינטרשיפ כירורגי בבית הספר לווטרינריה באוניברסיטת מישיגן (MSU).
סיים מסלול התמחות של הקולג׳ האירופאי לכירורגיה (ECVS) בשילוב עם מסלול דוקטורט, (PhD), במחלקה הכירורגית בבית הספר לווטרינריה באוניברסיטת Gent בבלגיה.
בשנת 2016 בסיום תוכנית ההתמחות והדוקטורט הצטרף כמנתח במחלקה הכירורגית של אוניברסיטת Gent.
בשנת 2017 הצטרף כמנתח ומרצה במחלקה הכירורגית של בית הספר לווטרינריה באוניברסיטת פילדלפיה,
University of Philadelphia, UPENN. ב2020 ד״ר אור שב לארץ.
ד"ר אור הוכשר גם ב-minimal invasive surgery ברקמה רכה (לפרוסקופיה/ טוראקוסקופיה) ואורתופדיה, ארתרוסקופיה מיקרוכרורגיה ונורוכירורגיה.
תחומי מחקר ועניין עיקריים:
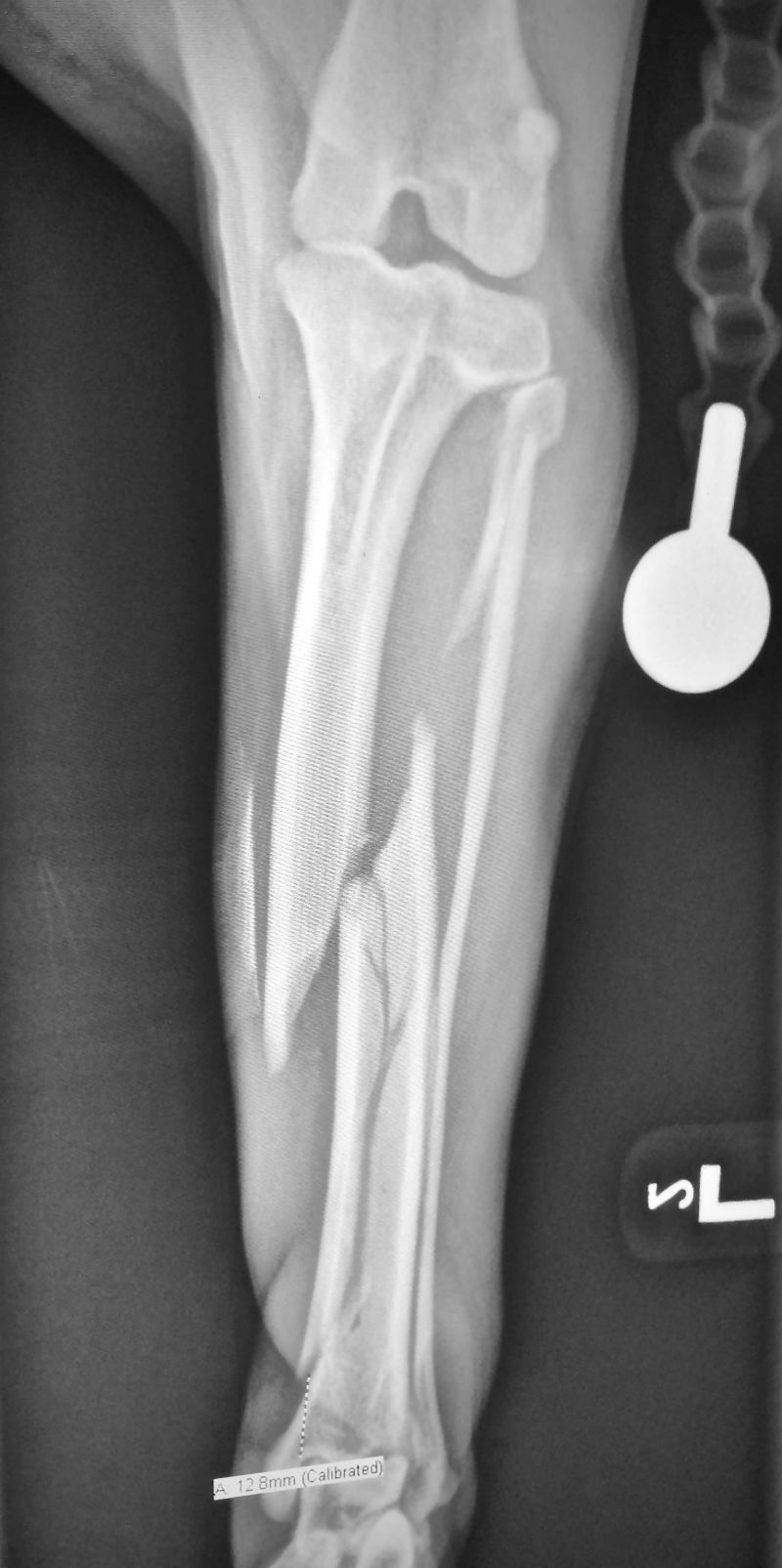
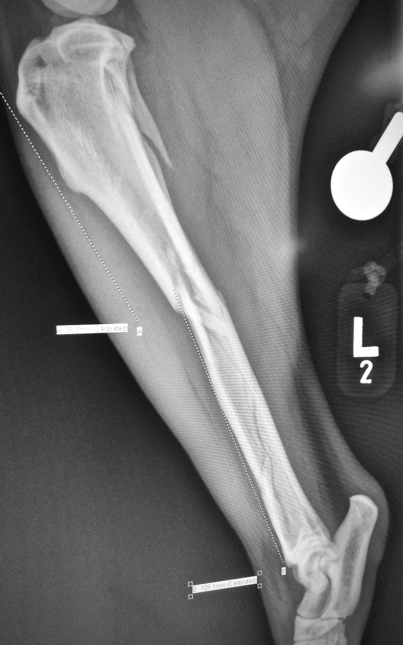
אטיולוגיה של מחלות אורתופדיות, ביומכניקה של שברים וייצובם, ארתרוסקופיה, אטיולוגיות וטיפול בבעיות מפרקיות. אטיולוגיה וטיפול בשנטים כבדים, הפטואנספאלופטי, פתולוגיות של מערכת השתן, בית - חזה ומערכת הנשימה. שתלי עור, טיפול בפצעים, שימוש ב NPWT ורפואה רגנרטיבית.
ד"ר אור פרסם מאמרים רבים בנושאים המקצועיים בהם הוא עוסק. הציג בכנסים בינלאומיים והוזמן כמרצה אורח למספר אוניברסיטאות בחו״ל.
משלך היום!


